Life Extension Magazine®
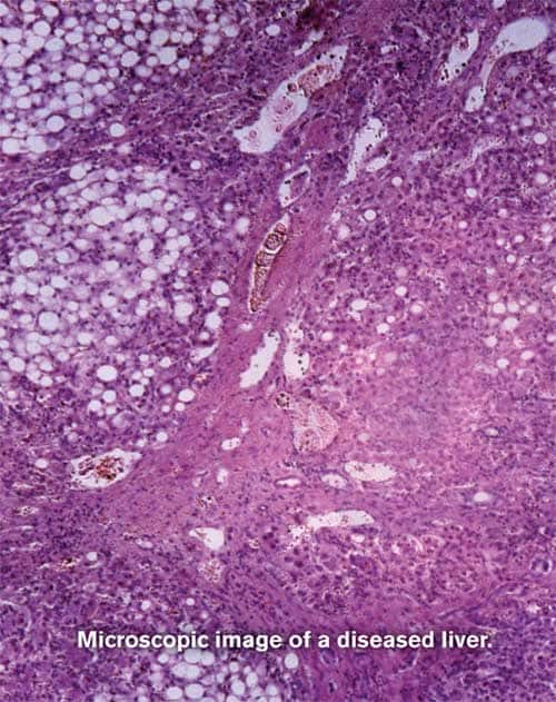
Most people associate liver damage with alcohol abuse or hepatitis. Yet a stealth liver condition of epidemic proportions lurks in this country that may pose an even greater threat to the public health. Roughly one-third of the American population1-3 suffers from nonalcoholic fatty liver disease or NAFLD. Many of its victims don’t know they have it. NAFLD can go undetected for years and may eventually progress to inflammation and scarring of the liver (cirrhosis) and, in some cases, full-blown liver failure. A formerly rare condition, its rapid emergence has been linked to skyrocketing rates of metabolic syndrome3-5 and “diabesity,” the term many experts use for co-occurring diabetes and obesity. While poor dietary choices are often to blame, cutting-edge research suggests that hidden genetic factors may also play a role, as some people do not metabolize polyunsaturated fats properly, resulting in fatty deposits in the liver.6 As mainstream medicine continues to struggle in the search for drugs to manage this widespread condition, emerging scientific evidence has shed light on effective natural interventions that may halt or even reverse its progress. In this article, you will learn about NAFLD and its impact on overall health in aging individuals, along with the various stages of the condition, ranging from barely detectable indicators to cirrhosis and liver failure. You will also discover compelling evidence for seven potent interventions that may effectively combat this challenging and widespread disease. Fat Overload, Liver Damage, and the Inflammatory Storm
NAFLD (nonalcoholic fatty liver disease) is defined as deposition of fat in the liver cells of patients with minimal or no alcohol intake and with no other known cause.7 The term “NAFLD” refers to a group of related and progressive conditions closely associated with overweight and obesity.2 NAFLD starts off as a low-level disturbance characterized by dull right upper-quadrant abdominal discomfort and fatigue in most patients, but it is hardly benign.8 Early NAFLD can ultimately progress to a more serious condition, nonalcoholic steatohepatitis or NASH.9 About a third of people with NAFLD will develop NASH.8 And about 20% of people with NASH will go on to liver fibrosis and cirrhosis, with its accompanying risk of liver failure and even liver cancer.2,8,10 Overall, people with NAFLD stand a 12% increased risk of liver-related death over 10 years.8 As the prevalence of overweight and obesity rises, so do the rates of NAFLD, NASH, and their end-stage consequences. Together, these conditions affect roughly 30% of US adults and, shockingly, up to 10% of our children.2 NAFLD has multiple interrelated causes. Primary mechanisms include obesity leading to steadily increasing insulin resistance coupled with an overabundance of circulating fatty acids. These factors fuel one another in a destructive cycle.4 Together with the recently-recognized role of advanced glycation end-products (AGEs), these events lead to increased oxidant stress and ultimately inflammation, cell death, and fibrous destruction of liver tissue.3,4,8 An overload of fatty acids and abnormal lipid profiles factor so heavily in the onset of NAFLD that they’re now referred to as “lipotoxicity” because of the ways they directly poison liver tissue.9,11,12 And as fat builds inside liver cells, they begin churning out a storm of fat-related cytokines known as adipokines, which fan the inflammatory flames of the metabolic syndrome and NAFLD.1 Unfortunately, despite a growing understanding of what goes wrong in NAFLD, scientists have been persistently baffled in their attempts to prevent and treat it with drug therapies. Lifestyle interventions such as steady, gentle weight loss and regular exercise have been the only interventions that offered any hope at all.2,9 Insulin-sensitizing drugs, while theoretically of value, have proved disappointing in clinical trials. The only successful pharmaceutical intervention for dealing with NAFLD has been metformin, which will be examined below. Cholesterol-lowering drugs like statins have no proven benefit to date.4 Further studies are needed to determine if bariatric surgery to induce weight loss benefits patients with NAFLD.9,13 Given the nutritional origins of NAFLD, it comes as no surprise that a handful of nutrients with targeted antioxidant, anti-inflammatory, and metabolic properties have emerged in recent years as the most promising preventive therapies. A recent clinical trial of vitamin E versus the prescription drug pioglitazone (Actos®) provided some compelling results, and serves as an excellent introduction to a broader examination of the most promising, safe, low-cost interventions. 7 Interventions to Heal and Protect Your LiverVitamin ELiver scientists at the Virginia Commonwealth University Medical Center began a series of studies on NASH (the advanced middle stage of NAFLD) and vitamin E in 2004. Based on their knowledge that NASH arises from persistent insulin resistance and oxidative stress, they examined the effects of pioglitazone (Actos®), an insulin-sensitizing drug, and vitamin E.14 Their initial hypothesis was naturally that the combination of vitamin E plus the drug would produce greater benefits than vitamin E alone. And indeed, looking at liver biopsies that seemed to be the case. Patients receiving both vitamin E (400 IU per day) and pioglitazone (30 mg per day) had improvements in more parameters than did patients on vitamin E alone (though the vitamin E patients did show some improvement).14 Encouraged (and curious), the researchers designed an additional trial aimed at evaluating the effects of vitamin E and pioglitazone independently in patients with NASH.15 In this study, published in mid-2010, subjects received either vitamin E (800 IU per day) or pioglitazone (30 mg per day), or placebo, for 96 weeks.16 The results were surprising, to say the least. Only vitamin E, and not pioglitazone, produced significant improvements in the appearance of liver tissue on biopsies.16 Both treatments improved levels of liver cell-injury markers in blood, and both reduced liver fat levels and inflammation. This study showed that vitamin E, formerly thought to be additional therapy for NASH, was actually superior to pioglitazone at improving liver damage. Let’s now look at some clues that might have predicted these otherwise startling results, based on what was already known about vitamin E in liver disease. Vitamin E is a powerful antioxidant, and hence an obvious choice once the role of oxidant stress was made clear in NAFLD.17 We had known since at least 1992 that people with fatty liver disease and NASH had depressed levels of vitamin E in their blood, the result of that increased oxidation.18,19 By the beginning of this century, relatively low-dose vitamin E (450 IU/day) was shown to reduce circulating liver enzymes, a chemical marker of liver cell injury.20,21 Clinical trials of combination antioxidants, including one with silybin (milk thistle) and phospholipids showed good results at improving insulin resistance and reducing markers of liver cell fibrosis (a finding in advanced liver disease).22,23 In patients receiving vitamin E 1,200 IU mg per day, overall fasting glucose levels improved while markers of liver cell damage decreased.24 In a subgroup of those patients, there was evidence of reduced inflammation and improved expression of PPAR-alpha, a vital metabolic sensor complex, providing evidence of new and separate mechanisms of action. Important animal studies began to appear around 2009 that refined our understanding of how vitamin E works. One study provided the first evidence that vitamin E can prevent NAFLD before it develops, largely by reducing oxidative stress, inflammation, and liver cell death by apoptosis.25 Another study demonstrated a vitamin E-related reduction in oxidative damage and tissue levels of the inflammatory mediator TNF-alpha, while beneficially reducing PPAR-gamma activity.26 This wealth of animal and now human data clearly supports daily use of 800-1,200 IU of vitamin E for prevention and treatment of NAFLD and NASH. Let’s look at the other nutrients known to be helpful in preventing this troubling suite of conditions. This wealth of animal and now human data clearly supports daily use of 800-1,200 IU of vitamin E for prevention and treatment of NAFLD and NASH.
Omega-3 Fatty AcidsJust as vitamin E fights the oxidant and inflammatory components of NAFLD, the omega-3 fatty acids attack the problem of lipotoxicity, while contributing considerable anti-inflammatory activity of their own.12 People and experimental animals with insufficient omega-3 in their diets are prone to the development of NAFLD and type 2 diabetes, suggesting that supplementation might reverse (or prevent) the process.12,27-29
In fact, both in the laboratory and at the bedside, there are impressive results from omega-3 supplementation. Increasing the amount of unsaturated fats like omega-3s in cell membranes is associated with improved insulin sensitivity.30 And fish oil supplements rich in omega-3 result in activation of the important metabolic sensor called PPAR-alpha in liver cells, suppressing liver production of new fat molecules.31 The omega-3s also contribute to improved insulin sensitivity, accompanied by a reduction in serum triglycerides and stimulation of fat utilization or burning in liver tissue and skeletal muscle.32 A compelling, long-term human trial using 1,000 mg per day of omega-3 in patients with NAFLD revealed significant decreases in serum markers of liver cell damage, triglyceride levels, and fasting glucose.33 Importantly, circulating levels of the inflammatory fat arachidonic acid were also significantly reduced. Most impressively, supplemented patients display improvement of their livers’ appearance and blood flow on ultrasound exams, providing graphic evidence of the supplements’ benefits.33 Another study found that supplementation with 751 mg eicosapentaenoic acid (EPA) and 527 mg docosahexaenoic acid (DHA) 3 times daily for 24 weeks decreased triglyceride levels in individuals with NAFLD.34 Clearly the omega-3 fatty acids deserve a place in our armamentarium of supplements to fight NAFLD, and have earned their designation as “a specific liver drug for nonalcoholic fatty liver disease.”35
| |||||||
Metformin
Because of the central role of insulin resistance in development of NAFLD and NASH, it makes sense to evaluate insulin-sensitizing drugs for their prevention.36,37 No oral antidiabetic drug has as broad a spectrum of action, and as hefty a safety record, as the drug metformin, which is finding a host of new applications outside of diabetes itself.38,39 Studies of metformin for NAFLD and NASH have multiplied in the past few years with almost uniform success. Metformin in the amount of 500 mg three times daily for 6 months produced dramatic improvements in liver blood flow and velocity as detected by Doppler ultrasound exams.40 A similar dose of metformin (20 mg/kg body weight for one year, or approximately 1,450 mg/day for a 160-pound person) produced reductions in blood markers of liver cell death, though the improvement lasted only 3 months.41 On the other hand, improved insulin sensitivity has repeatedly been shown in patients with NASH and NAFLD who take metformin, and many studies have now shown sustainable improvements in liver chemistry measurements.36,42 And a recent study showed significant reduction in the prevalence and severity of fatty liver after 6 months’ treatment with 850 mg metformin twice daily in obese adolescents, an extremely challenging group of patients.43 Metformin is an ideal drug for combination studies because of its safety and compatibility with other therapies. A 2008 study revealed that the combination of metformin with the potent antioxidant N-acetyl cysteine (NAC) for 12 months improved both liver chemistry results and measurements of insulin resistance.44 Liver tissue evaluated by biopsy also showed improved appearance for the earlier signs of disease. Finally, in 2010 we learned of an entirely new mechanism by which metformin fights fatty liver disease. In addition to triggering insulin resistance, the excessive supply of fatty acids to the liver also contributes to cellular stresses. Those stresses result in liver cell death by apoptosis, accelerating conversion of NAFLD to NASH.45 Korean laboratory researchers have now shown that metformin blocked the induction of cellular stress proteins in cultured liver cells, protecting them from death induced by fatty acids.45 This novel mechanism adds to metformin’s already impressive array of multitargeted effects on metabolism and fatty liver disease. S-Adenosylmethionine (SAMe)Their constant exposure to oxidant and toxic stresses makes liver cells especially vulnerable to depletion of glutathione (GSH), a natural antioxidant that participates in many liver detoxification reactions.46,47 The nutrient S-adenosylmethionine (SAMe) is one of a small group of molecules that can replenish GSH levels and restore liver cell protection to normal.48 In individuals with alcoholic or non-alcoholic liver disease, supplementation with 1,200 mg SAMe daily increased liver glutathione levels.49 Studies using agents that increase SAMe levels are known to reduce severity of NAFLD.46,50 A number of studies have demonstrated improvement in liver enzymes, an early marker of cell damage, resulting from treatment with SAMe and other liver antioxidants.51 SAMe supplements also produce improvements in microscopic features of NAFLD associated with fatty degeneration, inflammation, and tissue death.48 And SAMe also down-regulated damaging proinflammatory genes in a rat model of NAFLD.48 A major discovery about SAMe, however, is its ability to directly stop the progression of relatively mild NAFLD to dangerous NASH. NASH develops as the result of “second hits,” that is, additional events that damage liver cells after NAFLD has already developed; one of those “hits” is steady depletion of SAMe.52 This has led to interest in using SAMe to prevent NASH from developing in people who already have NAFLD, thereby protecting them from the full fury of the disease.53 N-Acetyl Cysteine (NAC)Another molecule that supports and replenishes the natural antioxidant glutathione is N-acetyl cysteine (NAC), a versatile sulfur-rich compound that was first used to prevent liver damage following acetaminophen poisoning.54 It rapidly restores depleted glutathione to normal levels, sparing liver cells from the effects of oxidant damage, which is considered a “second hit” following development of NAFLD.55-57 A NAC derivative called SNAC was recently shown to prevent onset of NAFLD in rats fed a liver disease-inducing diet.58 In humans, the combination of NAC (1,200 mg/day) with metformin (850-1,000 mg/day) improved liver appearance and reduced fibrosis in patients with NAFLD.44 And stunning findings in 2009 revealed that NAC, given to rats with NAFLD, could stimulate regeneration of healthy liver cells in animals that had had part of their livers removed!59 The researchers in that study observed that NAC supported glutathione levels, and postulated that the resulting reduction in oxidative stress accounted for the good outcome. Silymarin (Milk Thistle)
Extracts of milk thistle have long been used for liver protection. It is estimated that 30-40% of American liver disease patients use the active ingredient, silymarin.60 Silymarin is itself composed of six major active molecules such as silybin, which are known as flavolignans, with exceptional antioxidant and anti-inflammatory activity.60,61 Modern science is rediscovering the use of milk thistle extracts for reduction of the impact of NAFLD and preventing its progression to NASH. One very effective combination is silymarin plus vitamin E and phospholipids (such as phosphatidylcholine); this approach improves the overall antioxidant activity of the compound.62 In animal studies the combination limited liver depletion of the natural antioxidant glutathione, and reduced mitochondrial stress damage.63 Human trials have shown that a preparation providing 376 mg silybin, 776 mg phosphatidylcholine, and 360 mg vitamin E produces therapeutic effects in patients with a variety of different forms of liver damage, improving insulin resistance, reducing liver fat accumulation, and reducing blood levels of markers of liver scarring.22,23,64 Open studies have shown that silymarin also significantly increased survival rates in patients with alcohol-induced liver cirrhosis.61 Phosphatidylcholine and PPCPhospholipids—fat molecules with phosphate groups attached—are major constituents of cell membranes in mammals.65 One of the most important phospholipids in humans is phosphatidylcholine (PC), which is available in small amounts in the diet. Higher ratios of PC to other phospholipids in cell membranes help to assure membrane integrity in the face of oxidative and other stresses; they also help limit the progression of NAFLD into NASH.65 A particularly rich source of PC molecules is a mixture called polyenylphosphatidylcholine (PPC), which is derived from soybeans.66 PPC supplements in animals help to attenuate nonalcoholic liver fibrosis and even accelerate its regression.67 PPC appears to exert this effect in part by blocking oxidant damage to cell membranes.68-70 A separate mechanism is reduction in the high cholesterol levels that precede NAFLD formation.71 PPC also prevents proliferation of scar tissue-forming liver cells in NAFLD and other forms of liver toxicity.72 And PPC restores liver cell levels of SAMe, providing additional liver protection.73 Finally, PPC attenuates liver cell death by apoptosis following chronic alcohol exposure.74 SummaryWe are unknowingly in the midst of a full-blown liver disease epidemic. Fully one in three Americans suffers from the potentially life-threatening early-stage condition known as nonalcoholic fatty liver disease or NAFLD. Left undetected, it can progress to inflammation and scarring of the liver (cirrhosis) and full-blown liver failure. While an overload of fatty acids and abnormal lipid profiles (“lipotoxicity”) are the chief culprits, genetic factors may also play a role. Cutting-edge researchers have uncovered a handful of effective preventive therapies. Vitamin E confers resistance to oxidative stress, prevents inflammation, and improves insulin sensitivity, in some cases outperforming prescription drugs. Omega-3 fatty acids attack lipotoxicity—the other source of NAFLD-related liver damage. Metformin directly lowers fasting glucose, enhances insulin sensitivity, and improves appearance of liver tissue by ultrasound and biopsy. Recent studies reveal that metformin also prevents the impact of stress proteins produced under the stress of lipotoxicity. Finally, antioxidant supplements such as SAMe, NAC, and silymarin provide additional protection through different mechanisms, while PPC stabilizes liver cell membranes and also boosts SAMe levels. If you have any questions on the scientific content of this article, please call a Life Extension® Wellness Specialist at 1-866-864-3027. Editor's NoteScience continues to evolve, and new research is published daily. As such, we have a more recent article on this topic: Protect Against Fatty Liver with Targeted Probiotics | |||
| References | |||
|





